Why Using Mouthwash Is Important for Oral Hygiene
I have always been interested in figuring out the best ways to maintain oral hygiene.
Taking care of your teeth is extremely important. Bad teeth can negatively affect your health, and teeth decay or loss can lead to pain and other complications. Having work done to fix dental problems can be very expensive, tedious, and time-consuming. It is therefore best that you do all you can to prevent any dental problems before they occur.
Regular brushing and flossing are the standard ways of taking care of your teeth. If you want to go the extra mile, you may also supplement with the use of mouthwash.
Mouthwash is a liquid that is used to enhance oral hygiene, and you should rinse with it on a regular basis. Mouthwashes can come in many different varieties, but they are either:
- Cosmetic: Will kill bacteria, loosen food particles, reduce bad breath, and leave a refreshing taste.
- Therapeutic: will also fight plaque and cavities using active ingredients.
The rinsing of your teeth with a cleaning agent is not new, but a very old practice that dates back to ancient times.
What Can Mouthwash Do for You?
Even though mouthwashes cannot replace brushing and flossing, they are not useless. The best mouthwashes can strengthen your teeth and supplement brushing your teeth with toothpaste. Mouthwash can reach places, such as between your teeth, that aren't easily reached with a toothbrush.
Depending on what kind of mouthwash you're using and its ingredients, they can:
- Reduce chronic bad breath or halitosis: A popular reason to use mouthwash is to fight bad breath. However, the effect is usually only temporarily and wears off after a certain time.
- Reduce dental caries or tooth decay: Acid from bacteria causes destruction of the hard layers, such as enamel, on your teeth. If this loss is not repaired in time by re-mineralization, for instance by adding calcium, tooth loss will occur.
- Reduce dental plaque: Microorganisms attach to the surface of your teeth and gradually build up over time to form a layer. Plaque will accelerate the growth of dental caries. Properly brushing and flossing can remove plaque.
- Reduce tartar or calculus: These form when plaque becomes hardened. Tartar or calculus is much harder to remove than plaque and a dentist may be needed.
- Fight gingivitis or gum disease: Plaque buildup can irritate the gum around your teeth and cause inflammation and bleeding of the gum tissue.
- Fight periodontitis: If gingivitis is not treated, it can reduce the support that's holding your teeth in place and eventually cause loss of teeth.
Mouthwashes can also be used to whiten your teeth. Sometimes, dentists or oral surgeons can prescribe a custom-made mouthwash with specific ingredients after the patient has undergone oral surgery.

1. Enamel, 2. Dentine, 3. Pulp, 4. Gum, 5. Cementum, 6. Bone, 7. Blood vessel, 8. Nerve. 9. Crown, 10. Root.
Read More From Bellatory
How to Use Mouthwash?
Mouthwash or mouth rinse is usually used together with daily brushing and flossing. The recommended way of using mouthwash is after you've brushed your teeth. Since you are supposed to brush your teeth twice daily, mouthwash should also be used twice daily.
You can use mouthwash using the following procedure:
- Brush your teeth first with toothpaste and a toothbrush.
- Fill the mouthwash cap or some other cup with about 20 ml of mouthwash liquid.
- Rinse your mouth by swishing the liquid in your mouth for about 30 to 60 seconds.
- Spit out the liquid.
Be careful not to swallow any mouthwash.
Can Mouthwash Be Used as a Substitute for Brushing and Flossing?
Mouthwash is only to be used in addition to brushing your teeth and flossing. It is supposed to complement and not replace toothpaste and dental floss. With that said, mouthwash do offer benefits to those using them. They just cannot replace regular brushing and flossing.
It is possible for mouthwash to be used temporarily instead of brushing under certain circumstances. This can be done, for instance, when you've had oral surgery and are temporarily unable to brush or floss, but not on a permanent basis. The American Dental Association recommends taking care of your teeth with daily brushing and flossing together with regular visits to a dentist.

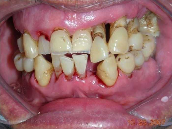
Patient with periodontitis
By Zeron AGUSTIN ZERON [Public domain], via Wikimedia Commons
Are There Any Health Risks Associated with Mouthwash?
There are claims from some researchers that suggest that mouthwashes containing alcohol can have adverse health effects, such as increased risk of cancer. However, these claims have not been proven and not all researchers, including the American Dental Association, agree with these claims.
Still, there are mouthwashes available that do not contain any alcohol. If you don't feel comfortable with alcohol, you can try those instead. Some people also prefer the taste of mouthwashes without alcohol. They tend to have less of a bite.
You may also want to stick to mouthwashes with a Seal of Approval from the American Dental Association (ADA).
What Is the Best Mouthwash to Use?
The answer to above question is that it all depends. There are all sorts of mouthwashes with various features offering different benefits. Therefore, what may be the best mouthwash for someone else, may not be ideal for yourself. Every person is different and so are their needs.
Some mouthwashes offer lots of features, such as Listerine Total Care. But they do tend to be more expensive. You can save some money by going with something that doesn't offer as many features that you may not need. They tend to be cheaper.
Just remember not to skimp too much on dental care. By using inferior products, you may save money in the short run. In the long run, it can cost you when you have to pay for dental repairs that are much more expensive.
You may also find out that a certain taste is not to your liking. Mouthwashes can be very bitter and really sting. It's not possible to know beforehand until you've tried it for yourself.
Sources
- Go Beyond Brushing | LISTERINE® Professional
Learn about the importance of incorporating floss and mouthwash into a daily oral care routine for complete oral health. - ADA Recognizes Benefits of Rinse | LISTERINE® Professional
The American Dental Association (ADA) recognizes the benefits of using a mouthwash in a daily oral care routine. - Why Is Does Mouthwash for Bleeding Gums Beneficial? | Colgate
Bleeding gums are an early sign of gum disease. Using an antimicrobial mouthwash for bleeding gums can help stop it in its tracks. Here's how it works.
This content is accurate and true to the best of the author’s knowledge and is not meant to substitute for formal and individualized advice from a qualified professional.


















